Gum Treatment in Gurgaon

Gum Treatment in Gurgaon

Gum disease, known as Periodontal Disease Too, commences with bacterial growth in the mouth, triggering localised inflammation of the gum tissue. This inflammation can progress to affect the bone that surrounds and provides support to your teeth. It is commonly initiated by bacteria residing in dental plaque, which forms a microbial biofilm on the teeth and gums

Causes of Gum Disease

The common cause of Gum Disease is poor oral hygiene. When brushing and flossing are not performed effectively, the potential for bacterial buildup is heightened.

  • Smoking or chewing tobacco
  • Hormonal shifts like menopause, menstruation, puberty, and pregnancy
  • Certain illnesses as in cancer and HIV make your immune system weak and are at higher risk of developing gum disease.
  • People who are suffering from Diabetes
gum treatment about

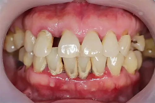
Symptoms of Gum Disease

  • Gum Disease bleeding while you brush or floss your teeth
  • Gums pulling away from the teeth
  • Loose teeth
  • Bite misalignment
  • Gum infection with discharge
  • Chewing discomfort
  • Sensitivity in teeth
  • Tender, red or swollen gums

Stages or Types of Gum Disease

gingivitis
GINGIVITIS
PERIODONTITISns
PERIODONTITIS
ADVANCED PERIODONTITIS
ADVANCED PERIODONTITIS

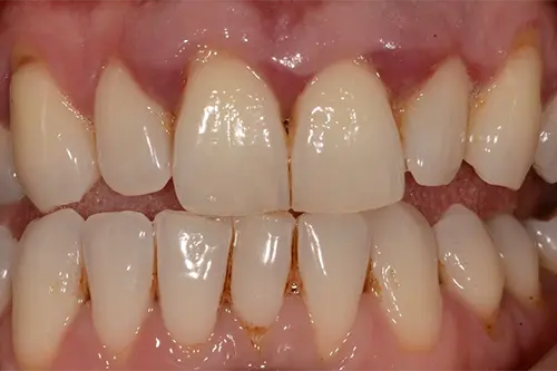
Treatment available for Gum Disease

The Non-Surgical Options Include:

Surgical Treatment Includes:

  • Flap Surgery
  • Bone Graftg
  • Soft Tissue Graft

Gum disease preventions

  • Brush your teeth twice a day.
  • Use dental floss regularly to eliminate plaque from between teeth.
  • Maintain regular 6-month dental appointments for check-ups and cleanings.
  • Quit smoking and tobacco use.

Some FAQ Questions

Always Maintain a good oral hygiene routine to prevent gum disease. It includes brushing your teeth at least twice, flossing once daily, and scheduling regular dental check-ups and cleanings. Additionally, avoiding tobacco use, eating a balanced diet, and managing stress can contribute to gum health.

It is a non-surgical procedure a dental professional performs to treat gum disease. It removes plaque, tartar, and bacteria from the tooth surfaces and below the gum line, smoothing the root surfaces to promote gum reattachment and prevent further infection.

Gum treatments, including scaling and root planing, are typically performed under local anaesthesia to ensure comfort. While you may experience some mild discomfort or sensitivity after the procedure, it can be managed with over-the-counter pain relievers and following your dentist’s instructions for post-treatment care.

In its early stage, known as gingivitis, gum disease can be reversed with proper treatment and improved oral hygiene practices. However, advanced stages of gum disease, such as periodontitis, may require more extensive treatments to manage and control the condition.

Untreated gum disease can lead to complications, including gum recession, tooth loss, bone damage, and systemic health issues like cardiovascular disease and diabetes. It is crucial to address gum disease promptly to prevent these potential complications.

The timeline for gum treatment results can vary depending on the gum disease seriousness and the chosen treatment approach. With professional treatment and consistent oral hygiene practices, you can expect to see improvements in gum health within a few weeks to a few months. Regular follow-up visits with your dentist are essential to monitor progress and ensure the success of your gum treatment.