Award-Winning
Dental Clinic in India - 2026
Smile Design
& Veneers Expert
Ranked #1
Dentist in Gurgaon
Global Healthcare Excellence Award
Excellence in Oral Healthcare Leadership
Global Best Practices Award
Asia's Healthcare Leadership Award 2023
Dental Clinic in India
Excellence in Implantology
Global Healthcare Excellence Award
Excellence in Oral Healthcare Leadership
Global Best Practices Award
Asia's Healthcare Leadership Award 2023
Dental Clinic in India
Excellence in Implantology
Awarded Dental Clinic in India
Clinic of the year 2026
Best Implantologist In India - Award 2025
Best Aesthetic Dental Clinic in India - Award 2024
Best Dentist in India - Award 2023
Dr. Nlay AB
BDS, PGAD (Manipal)
Aesthetic Dentist
Invisalign Provider
Director & Principal Dentist at Cosmodontist, expert in smile makeovers & Digital Smile Design.
Dr Nlay AB, the director and principal dentist at Cosmodontist Dental Clinic in Gurgaon, specializes in Aesthetic and Cosmetic Dentistry. Acknowledged as the top dentist in Gurugram, he is notably recognized for his expertise as a smile makeover specialist and cosmetic dental surgery practitioner. While proficient in a wide range of dental procedures, he has successfully enhanced the smiles of numerous individuals using cutting-edge technology such as Digital Smile Design.
Dr. Vidushii Mayor
BDS, MDS (Prosthodontist)
Implantologist
Specialist in Implantology & Full Mouth Rehabilitation with 4000+ implants successfully placed.
Dr. Vidushii Mayor, one of the finest dentists in Gurugram, has an impressive track record of providing superior dental care. She is known for her expert skills in Implantology and dentistry, having attended numerous workshops in prestigious institutes like AIIMS and Maulana Azad. She has placed more than 4000 dental implants, giving patients the comfort of eating again. She specializes in Full Mouth Rehabilitation & Implant Over-dentures, sinus lift, and bone grafting procedures.
Dr. Honey Verma
Oral and Maxillofacial Surgeon
Gold medalist Oral Surgeon, specializing in faciomaxillary surgery, trauma & implants.
Dr. Honey Verma, a gold medalist and university topper from Govt. Dental College, Rohtak, is a skilled Faciomaxillary Surgeon specializing in oral surgery and trauma. She holds a Master's in Oral & Maxillofacial Surgery from Karnataka and has advanced training in implants and implantology. With experience at a reputed dental chain, Dr. Verma has presented at national conferences, conducted extensive research on dental implants, and published in esteemed journals.
Dr. Ankita Sawant
Orthodontist & Invisalign Provider
Invisalign Certified Orthodontist, specializing in modern smile enhancement techniques.
Dr. Ankita, an Invisalign Certified specialist in Orthodontics and Dentofacial Orthopedics, is renowned for her innovative approach to smile enhancement using Invisalign technology. A 1st-rank MDS graduate with a thesis recognized by the Indian Orthodontic Society, she has also published several research articles. Combining personalized treatments with an interdisciplinary approach, she is dedicated to giving every patient the perfect smile.
India's Top Rated Cosmetic Dentistry Experts
Cosmodontist Dental Clinic is a multi-specialty Dental clinic located in Gurgaon started by eminent professionals Dr Nlay AB and Dr. Vidushii Mayor who are among the lists of best dentists in Gurgaon and India. Our clinic is fully staffed with modern equipment to offer all the services that relate to dental care and treatment.
Our clinic Cosmodontist offers you a full range of dental services that include dental implants, treatments for toothaches, and correction of crooked or misaligned teeth. Our advanced cosmetic dentistry services ensure the highest standards of care at competitive prices, making us a trusted choice for both local and international patients.
We boast of high sterilization standards and other precaution measures we put in place to guarantee the health of patients and staff. The focus on quality and our goals to provide optimum customer satisfaction, have put "Cosmodontist" amongst the leading outfits for affordable, aesthetic and advanced dental surgical procedures, not only in India but across the world.
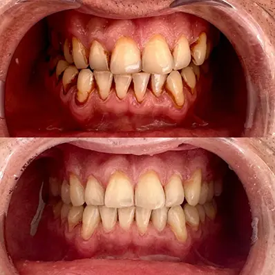
Before After
Patient Satisfaction Rate
Years of Experience
Dental Implants
Smile Designs
Advanced Dental Treatments with a Personal Touch
Get the smile you have always wanted with our advanced dental treatments, designed to give fast and effective results. At Cosmodontist Dental Clinic - Best Dental Clinic in Gurgaon, we focus on providing high-quality care in a modern and well-equipped facility. From routine checkups to specialized procedures, our team is dedicated to making your experience as smooth and comfortable as possible. With a commitment to excellence and attention to detail, we have earned a reputation as one of the top dental clinics in Gurgaon. Visit us to explore our range of services and take the first step toward a healthier, more confident smile.
Happy Patients
Cosmodontist Dental clinic in Gurgaon relish an international reputation for expertise in restorative and cosmetic dentistry. Many of our patients travel from across the world for treatment to enjoy the benefits of our services.
why choose Cosmodontist as Best Dental Clinic in India
Apart in Gurgaon
- Cosmodontist houses the Best dentist in Gurgaon, India. The team consists of Dr Nlay AB, Aesthetic Dentist, and Dr. Vidushii Mayor, Implantologist.
- At Cosmodontist, our Experts provide services that include Dental Implants, Smile Makeovers, Laser Dentistry, Invisible braces, RCT, and Veneers.
- We focus on bringing a high-end experience and painless dental treatments to every patient, making Cosmodontist the best dental clinic in Gurgaon.
- Dr Nlay AB and Dr. Vidushii Mayor are among the top dentists in Gurgaon, delivering a distinctive form of work that leads to patient satisfaction and guaranteed treatment for long years.
- Our entire team focuses on giving a tailored treatment to every patient and regular follow-ups to check the durability of the treatment.
- All the COVID protocols are strictly followed at the clinic, and instruments and materials are sterilized each time, ensuring patient safety to the best.
- Time management is one crucial factor that Cosmodontist strictly works on.
Best Dentists in Gurgaon India
When it comes to finding the "best dentist in Gurgaon", Cosmodontist Dental Clinic is the top choice for expert dental care. Home to some of the most experienced and skilled dentists in the region, the clinic provides a wide range of treatments, from routine check-ups and teeth cleaning to advanced procedures like dental implants, braces, and cosmetic dentistry.
Cosmodontist Dental Clinic combines modern technology with a patient-focused approach to ensure a comfortable and effective experience. Every treatment is tailored to meet individual needs, whether it's for improving dental health or enhancing a smile. Known for its commitment to quality care, Cosmodontist continues to set the standard for dental services in Gurgaon.
Excellent
Based on 826 reviews
Key Locations & Travel Time
| Location | DLF Phase-4, Clinic 1 | Sector 65, Clinic 2 | Map |
|---|---|---|---|
| Golf Course Road | 8 min | 5 min | |
| Delhi Airport | 25 min | 30 min | |
| DLF Phase 1 | 9 min | 15 min | |
| Sushant Lok | 10 min | 15 min | |
| DLF Phase 5 | 10 min | 15 min | |
| Sohna Road | 15 min | 10 min | |
| Cybercity | 16 min | 20 min | |
| Sector 14 | 18 min | 20 min | |
| Sector 55 | 5 min | 10min |
FAQs





















